CDU Unimed
Rua Agenor Meira, 12-34 - Centro Bauru - SP

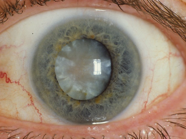
Catarata
Entenda o que é a catarata, por que ela ocorre e como o tratamento cirúrgico pode restaurar a visão.
A catarata é uma das principais causas de perda visual no mundo. Ela ocorre quando o cristalino — a lente natural do olho — se torna opaco, prejudicando a passagem da luz e tornando a visão progressivamente embaçada. Felizmente, o tratamento é seguro e altamente eficaz.
O que é a catarata?

A catarata é a opacificação do cristalino, a lente natural localizada dentro do olho. Em condições normais, o cristalino é transparente e permite a passagem da luz até a retina, onde as imagens são formadas.Com o desenvolvimento da catarata, essa lente torna-se progressivamente turva, dificultando a passagem da luz. Como consequência, a visão pode se tornar embaçada, com perda de contraste, dificuldade para enxergar à noite e maior sensibilidade à luz.A catarata geralmente se desenvolve de forma lenta e progressiva.
Quais são os sintomas?
Os sintomas mais comuns incluem:
-
Visão embaçada ou nublada
-
Sensibilidade aumentada à luz
-
Ofuscamento ao dirigir à noite
-
Necessidade frequente de trocar o grau dos óculos
-
Percepção de cores mais apagadas ou amareladas
Em estágios iniciais, os sintomas podem ser discretos e evoluir lentamente ao longo dos anos.

Por que a catarata acontece?

A causa mais comum é o envelhecimento natural do cristalino, motivo pelo qual a catarata é mais frequente após os 60 anos.
Outros fatores também podem contribuir para o seu desenvolvimento como:
-
Diabetes
-
Exposição prolongada à radiação ultravioleta
-
Uso prolongado de corticoides
-
Trauma ocular
-
Tabagismo
-
Predisposição genética
-
Cirurgias oculares prévias
Em alguns casos mais raros, a catarata pode estar presente desde o nascimento (catarata congênita).
Como é o tratamento?
O tratamento da catarata é cirúrgico.
Durante a cirurgia, o cristalino opaco é removido e substituído por uma lente intraocular artificial, que permanece permanentemente dentro do olho.
Atualmente, a técnica mais utilizada é a facoemulsificação, um procedimento moderno que utiliza ultrassom para fragmentar e remover a catarata através de pequenas incisões.
A cirurgia de catarata é um dos procedimentos mais realizados no mundo e apresenta altas taxas de sucesso.

